子どものマウスピース矯正
メニュー
症例写真
お問い合わせ
アクセス
駐車場
遠方なのですが・・
いろいろな結果
Q&A
メリット
デメリット
拡大を勧められました
同意書
満足度:小児矯正4万円~
費用
種類・使用法
年齢・効果
体験の声
可能性を信じて
Activity
当院の方法
特徴
治療目標
Myobrace for Kids
Myobrace for Teens
MUH Shield
どんな歯並び?
前歯が反対
前歯のすき間
前歯が出てる
スペース不足
あごが小さい
捻転&離開
開咬&過蓋
歯列弓の変化
犬歯 生える?
上顎側切歯反対
頑張ってます
年齢別の経過
小児矯正とは
1期治療
2期治療
拡大装置
i-3使用例
管理番号(医院用)
医院紹介
ごあいさつ
スタッフ
注意すること
感染予防対策
言葉の発達
院内絵画
求人情報
診療メニュー
マイオブレース4万円~
子どもの歯並び4万円~
矯正歯科4万円~
吹田市 小児歯科
虫歯予防
フッ素塗布
ホワイトニング
子どものマウスピース矯正
TOP
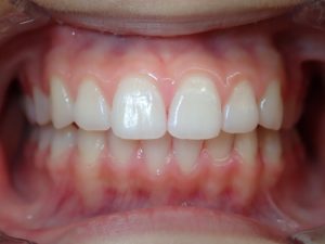
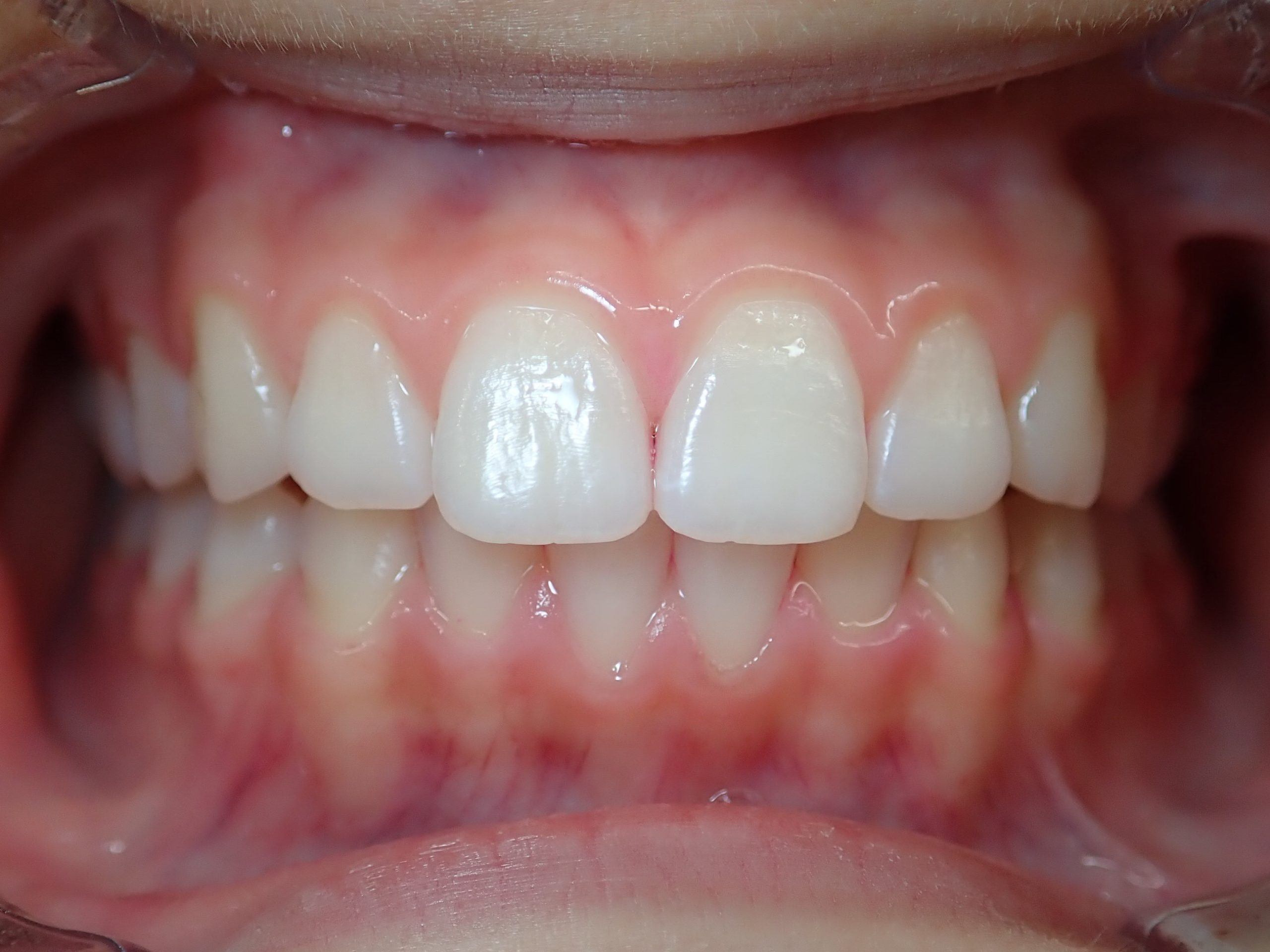
OLYMPUS DIGITAL CAMERA
OLYMPUS DIGITAL CAMERA
2025年9月23日
OLYMPUS DIGITAL CAMERA
「
開始が6歳以下での経過
」