子どものマウスピース矯正

メニュー
  • 症例写真
    • お問い合わせ
    • アクセス
    • 駐車場
    • 遠方なのですが・・
    • いろいろな結果
    • Q&A
    • メリット
    • デメリット
    • 拡大を勧められました
    • 同意書
    • 満足度:小児矯正4万円~
  • 費用
    • 種類・使用法
    • 年齢・効果
    • 体験の声
    • 可能性を信じて
    • Activity
    • 当院の方法
    • 特徴
    • 治療目標
    • Myobrace for Kids
    • Myobrace for Teens
    • MUH Shield
  • どんな歯並び?
    • 前歯が反対
    • 前歯のすき間
    • 前歯が出てる
    • スペース不足
    • あごが小さい
    • 捻転&離開
    • 開咬&過蓋
    • 歯列弓の変化
    • 犬歯 生える?
    • 上顎側切歯反対
    • 頑張ってます
    • 年齢別の経過
  • 小児矯正とは
    • 1期治療
    • 2期治療
    • 拡大装置
    • i-3使用例
    • 管理番号(医院用)
  • 医院紹介
    • ごあいさつ
    • スタッフ
    • 注意すること
    • 感染予防対策
    • 言葉の発達
    • 院内絵画
    • 求人情報
  • 診療メニュー
    • マイオブレース4万円~
    • 子どもの歯並び4万円~
    • 矯正歯科4万円~
    • 吹田市 小児歯科
    • 虫歯予防
    • フッ素塗布
    • ホワイトニング
  1. 子どものマウスピース矯正 TOP
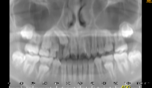
  2. スクリーンショット 2025-10-16 062514

スクリーンショット 2025-10-16 062514

2025年12月28日

「上顎犬歯埋伏のCT画像」

川崎歯科(大阪府吹田市)

KAWASAKI DENTAL CLINIC

画像に alt 属性が指定されていません。ファイル名: インスタはじめ.jpg

小児歯科・一般歯科・矯正歯科

お問い合わせ

術前➡術後(いろいろ)

Tweets by K1forkids

大阪府吹田市山手町1-8-14

 06-6388-1526

阪急千里線 豊津駅 徒歩5分

駐車場について

診療日と時間

月・火・水・木・金

AM9:00~PM1:00  PM3:00~PM7:00

金曜の午後は休診となります。

土曜・日曜はお休みです。

お電話お待ちしております

 

最近の投稿

  • 中学生の受け口の話
  • 上顎犬歯埋伏のCT画像
  • 21mmのその後
  • デメリット(空隙歯列)
  • 埋伏歯の考え方

子どもの歯 Q&A

  • お知らせ (7)
  • キシリトールのお話 (4)
  • フッ素について (9)
  • マウスピースQ&A (121)
  • マウスピース矯正 記 (127)
  • 子どもの気になる歯 (22)
  • 小児歯科について (41)
  • 小学生と歯科 (5)
  • 最近の結果 (3)
  • 歯並びのいろいろ (12)
  • 統計 (2)
  • 論文・研究 (10)

子どものマウスピース矯正

  • ログイン
  • 投稿フィード
  • コメントフィード
  • WordPress.org

(C) 2018子どものマウスピース矯正

ページの先頭へ